top of page


periodoncia
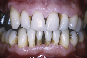
La periodoncia es una rama de la especialidad médico-quirúrgica odontológica que estudia la prevención, diagnóstico y tratamiento de las enfermedades y condiciones que afectan los tejidos que dan soporte a los órganos dentarios (encía, ligamento periodontal, cemento radicular y hueso alveolar)


¿Tienes dudas?

Escríbenos por whatsapp
bottom of page